Bruxismo Infantil

Dentista, você já atendeu uma criança com sinais claros de bruxismo e ficou em dúvida sobre a melhor conduta? Tudo começa com um bom diagnóstico e para isso é preciso entender as causas e fatores de risco. Afinal, o bruxismo infantil está presente em uma a cada quatro crianças (Ferrari-Piloni et al., 2022 e Zieliński […]
O Mapa da Prevalência do Bruxismo

O bruxismo, em suas diversas manifestações, é um desafio constante em nossas clínicas. Para otimizar o diagnóstico e o manejo, é fundamental estar atualizado sobre sua real prevalência e como se distribui em diferentes populações, bem como compreender as metodologias diagnósticas que alicerçam esses dados. Com base em uma análise aprofundada de recentes estudos e meta-análises, apresentamos um panorama detalhado da prevalência do bruxismo, desde uma perspectiva global até grupos populacionais específicos.
A Complexa Intersecção entre Bruxismo do Sono e Apneia Obstrutiva do Sono: Um Guia Cronológico da Ciência e Suas Implicações Clínicas

Na rotina clínica, nós, dentistas, frequentemente nos deparamos com pacientes que apresentam sinais de bruxismo do sono (BS). Paralelamente, na medicina do sono, a apneia obstrutiva do sono (AOS) é um desafio recorrente. Ambos os achados são comuns e impactam significativamente a saúde geral. A possível relação entre BS e AOS tem sido um tema […]
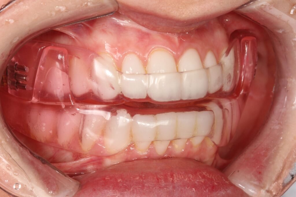
Dispositivos Oclusais e Apneia Obstrutiva do Sono: Da Evidência Científica para a Prática Clínica

Este artigo analisa as evidências científicas sobre o uso de dispositivos oclusais em pacientes com bruxismo e síndrome da apneia obstrutiva do sono (SAOS). Estudos apontam que placas estabilizadoras, como a de Michigan, podem agravar a obstrução das vias aéreas em indivíduos com SAOS. A literatura atual recomenda cautela e indica os dispositivos de avanço mandibular (DAM) como alternativa mais segura e eficaz.